DENTPERAS | Çene Cerrahisi

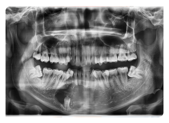
Gömülü 20 Yaş Dişleri

20 yaş dişleri genellikle 17-25 yaşları arasında sürerler. Sürme yaşı tamamlandığı halde diş kavsinde yerini alamamışlar ise gömülü 20 yaş dişleri olarak adlandırılırlar. Günümüz insanının çene yapısı önceki çağlarda yaşayan insanlara göre daha küçük olduğundan ve beslenme alışkanlıkları değişkenlik gösterdiğinden 20 yaş dişlerinin gömülü kalmasına daha sık rastlanılmaktadır.

Gömülü Dişler

• Tamamen kemik içerisinde olabilirler
• Kısmen kemik kısmen yumuşak doku altında olabilirler
• Kısmen sürmüş, kısmen yumuşak doku altında olabilirler

20 Yaş Dişlerinin Çekilmesini Gerektiren Durumlar

Dişin üzerini örten yumuşak dokunun enfeksiyonu : Perikoronitis olarak da adlandırılan bu durum, yarı sürmüş dişlerde dişin görünen kısmını çevreleyen yumuşak dokuların enfeksiyonu olarak tanımlanabilir.

Yumuşak dokularda gelişen bu enfeksiyon ağrıya neden olur ve ağrı çiğneme ile artış gösterir. Bu aşamada tedavi edilmez ise ilgili bölgede şişlik, yutkunmada güçlük ve ağız açmada kısıtlılık ağrıya eşlik edebilir.

Ağız içerisinde ilgili bölgedeki dişeti şişmiştir ve çok hassastır. Ufak bir temas ile altından iltihabi akıntı gelir. Alt çenenin altındaki lenf bezleri büyümüştür ve dokunulduğunda hassastır.

Dişeti hastalıklarının meydana gelmesi: Gömülü yirmi yaş dişi, komşulukta olduğu dişin kemik desteğini zayıflatır ve o bölgede besin artığı birikimine sebep olabilir.

Diş çürüklerinin meydana gelmesi: Yarı sürmüş 20 yaş dişleri, komşuluğunda yer alan diş ile aralarında gıda birikimine ve buna bağlı olarak diş çürüklerine neden olabilir.

Kist ve tümörlerin meydana gelmesi: Gömülü diş tamamıyle kemiğin içerisinde kaldığında dişe ait kese de onunla birlikte kalmaktadır. Folikül adı verilen bu keseden kistik bir oluşum ya da tümör gelişebilir.

Sebebi belli olmayan ağrıların meydana gelmesi: Çoğu kez hastalar hekime 20 yaş dişi bölgesinde belli bir sebep olmaksızın ağrı şikayeti ile başvururlar. Eğer hastada alt çene eklemine bağlı bir neden yok ise oradaki gömülü dişin çıkartılması ağrı şikayetinin kaybolmasını sağlayabilir.

Çene kırığı olması: Gömülü dişler çenede işgal ettikleri yer nedeniyle çene kemiğinde zayıf bir hat oluştururlar. Eğer çene kemiğinin o bölgesi travmaya maruz kalırsa, bu hat boyunca bir kırık meydana gelebilir.

Ortodontik sebepler: 20 yaş dişleri ortodontik tedavi tamamlandıktan sonra, sıralanmış olan dişlerin tekrar çapraşık hale gelmesine neden olabilir. Bu yüzden ortodontistler genellikle tedavi sonrasında 20 yaş dişlerinin alınmasını isterler. Ayrıca bazen ortodonti uzmanları 1. azı dişlerini geriye doğru hareket ettirmek istediklerinde, engel oluşturmamaları açısından 20 yaş dişlerinin çekimini öngörebilirler

DENTPERAS

Ortognatik Cerrahi

Çocukluk döneminde; parmak emme, büyük adenoid ve bademcikler, ağız açık uyuma gibi sebepler ile dişlerde ve çenelerde uyumsuzluklar meydana gelebilir. Bu dönemde gerekli tedaviler uygulanmadığında ilerleyen yaşlarda şiddetli iskeletsel anomaliler gelişebilir. İlerleyen yaşla birlikte kemik büyümesi de sona erdiğinden, iskeletsel anomalilerin uzun dönemde tedavisi ancak cerrahi destekli ortodontik tedavi ile mümkün olur.

Ortognatik cerrahi; çenelerle ilişkili şekil ve uyum bozukluklarının düzeltilmesi amacıyla uygulanan cerrahi bir yöntemdir. Operasyon sadece alt çeneye, sadece üst çeneye yapılabileceği gibi her iki çeneye de uygulanabilir. Ameliyat öncesi dönemde ortodontik tedavi ile dişsel düzelmeler gerçekleştirilir. Operasyon ile ise çeneler arası ilişki düzeltilir. Ameliyat sonrasında nihai dişsel düzenlemeler ortodontist tarafından uygulanır ve tedavi tamamlanır.

Önce Sonra
DENTPERAS

Kistler

Kistler, içlerinde sıvı ve yarı sıvı kıvamda bir materyal bulunan, etrafları kapsül ile çevrelenmiş patolojik oluşumlardır. Kistler genellikle oldukça yavaş büyürler. Bu özelliklerinden dolayı enfekte olmadıkları ya da şişlik oluşturmadıkları takdirde hastalar tarafından pek fark edilmezler. Enfekte olduklarında ise ağrıya neden olabilirler.

Bununla birlikte komşuluklarında bulunan sinirlere baskı yapabilir ve his kaybına sebep olabilirler. Dişlerde yer değişikliklerine yol açabilirler.

Kistlerin tedavisi kapsülleri ile birlikte tamamen çıkarılmaları ile yapılır. Çok büyük boyutlara ulaşan kistler ise önce küçültülürler ve daha sonra çıkarılırlar.

DENTPERAS

Kök Ucu Rezeksiyonu

Kök ucu rezeksiyonu, kök ucunun kesilerek ilişkili olduğu lezyonun ya da nekrotik dokunun çıkartılmasını ifade eder.

Diş çürüğünün uzun bir süre tedavi edilmemesi ya da dişin travmaya maruz kalması sonrasında kök kanalı enfekte olabilir. Bu aşamada dişlere kanal tedavisi uygulanmaz ise, enfeksiyon kök ucundan çene kemiğine ve çevre dokulara yayılabilir. Bu bölgede iltihabi granülasyon dokusu gelişebilir ve her zaman kanal tedavisi ile tedavisi mümkün olmayabilir. Böyle durumlarda kök ucundaki iltihabi dokunun cerrahi olarak uzaklaştırılması gerekir.

Ayrıca kök kanalının aşırı eğri olduğu, kanalda kanal aletinin kırıldığı, kanalın herhangi bir sebeple tıkalı olduğu durumlarda kök ucu rezeksiyonu yapılması gerekebilir.

DENTPERAS

Protez Öncesi Cerrahi

Ağız içerisinde protezin oturacağı bölgelerde protez yapımından önce sert ve yumuşak dokularda bazı düzeltmeler ve onarımlar yapmak gerekebilir. Proteze hazırlık amacıyla yapılan bu cerrahi uygulamalar şöyle sıralanabilir.

• Yapılan diş çekimlerine bağlı oluşmuş kemik çıkıntılarının düzeltilmesi
• Yumuşak doku büyümelerinin çıkartılması
• Protezin oturmasına engel oluşturabilecek kas tutunmalarının serbestleştirilmesi
• Dudak dişeti bağlantısının serbestleştirilmesi

DENTPERAS

Çene Eklemi

Bademcik iltihabı, geniz eti varlığı, sürekli ağız solunumu gibi KBB problemleri, çene kemiklerinin şekillenmesinde engel oluşturabilir ve diş sürme bozuklukları yaratabilirler.

Çene eklemi, kulağın hemen önünde yer alır ve diğer eklemlere göre daha özellikli bir yapıya sahiptir. Üst kısmında kafaya ait bir bölümü, altta alt çene kemiği ve bunların arasında yer alan eklem diskinden oluşmaktadır. Eklemin çevresinde eklemi destekleyen çiğneme kasları ve bağlar bulunmaktadır. Çene ekleminin rehber noktası ise alt ve üst dişlerin kapanış ilişkisidir. Tüm bu yapıların uyumlu ve harmonik işleyişi eklemin sağlıklı kalmasını ve konuşma, çiğneme gibi fonksiyonları yerine getirebilmesini sağlar. Çenelerin doğru konumlanması ve ağız içerinde yer alan dişlerin düzenli yerleşimi, sağlıklı işleyişe katkıda bulunan önemli unsurlardır. Çene eklemi rahatsızlığı günümüzde sıkça rastlanan bir problem haline gelmiştir.

Çene Eklemi Rahatsızlıklarının Bulguları

Ağız açma-kapama sırasında eklemden ses gelmesi

• Kulak çevresinde ağrı oluşması
• Ağız açma miktarında azalma ve ağız açmada zorluk
• Çiğneme sırasında ağrı
• Çenede kilitlenme
• Baş ve boyun bölgesinde ağrı meydana gelmesi

Çene Eklemi Rahatsızlıklarının Sebepleri

Diş sıkma ya da diş gıcırdatma alışkanlığı: Genellikle strese bağlı olarak ortaya çıkar ve daha çok uyku sırasında meydana gelir. Bu alışkanlık çiğneme kaslarında spazma neden olur ve spazmda ağrıya neden olur. Bu alışkanlık devam ederse eklem yapılarında hasara neden olur.

Dişlerdeki kapanış ilişkisinde uyumsuzluklar: Dişlerdeki çapraşıklıklar, alt ve üst dişlerdeki uyumsuz kapanış ilişkileri, uygun yapılmayan dolgular ve protezler ekleme iletilen yük dengelerini değiştirir ve eklem problemlerine neden olur.

Parafonksiyonel alışkanlıklar: Uzun süreli sakız çiğneme, kalem gibi maddelerin ağızda tutulması gibi alışkanlıklar eklem problemi oluşmasına zemin hazırlar.

Travma sonucu oluşan hasarlar: Eklem bölgesine darbe gelmesi ve oluşan eklem içi kanamalar, eklemde kırık oluşması ve uygun olmayan iyileşmeler eklem problemlerine yol açabilirler.

Çene Eklemi Rahatsızlıklarının Tedavisi

Önceliklere eklem ve çiğneme kaslarının detaylı bir şekilde muayene edilmesi ve sebep olan faktörlerin belirlenmesi gerekir. Öncelikle bu faktörlerin kaldırılması gerekir. Strese bağlı olarak gelişen alışkanlıklar var ise öncelikle stres faktörü gerekirse tıbbi destek alınarak elimine edilmelidir. Eğer dişler arasındaki uyumsuzluklardan kaynaklanan eklem problemi söz konusu ise ortodontik tedavi yaklaşımları ile dişler arasında ideal ilişki sağlanmaya çalışılmalıdır. Ağızda yüksek yapılmış, hatalı dolgu yada protezler var ise bunlar düzeltilmelidir.

Etkenler elimine edildikten sonra uygulanacak tedaviler; eklemdeki hasarın boyutuna ve hastada oluşturduğu şikayetlerin şiddetine göre değişkenlik gösterir. Bu tedaviler arasında egzersizler, sıcak ya da soğuk uygulamaları, çeşitli plakların kullanılması, ağrı kesici ve kas gevşetici gibi medikal tedavilerin kullanılması sayılabilir. Daha ileri aşamalarda ise eklem içi yıkama ve enjeksiyonlar, atroskopik uygulamalar ve açık eklem cerrahisi gibi uygulamalar öngörülebilir.

Uygulanacak tedavi tipine ilişkin en doğru yaklaşım, doktorunuz tarafından yapılacak detaylı bir muayene sonrasında belirlenmeli ve hasta bu konuda bilgilendirildikten sonra uygulamaya geçilmelidir.

DENTPERAS

Çene ve Yüz Kırıkları

Kırık; kemiğin ani ve şiddetli bir kuvvet karşısında tam ya da kısmi olarak devamlılığını kaybetmesi olarak tarif edilebilir. Kırığın meydana gelmesinde; gelen kuvvetin şiddeti, yönü, geldiği bölgenin anatomik özellikleri, travmayı oluşturan cismin kesit alanı önemli rol oynar.

Çene ve yüz bölgesi kırıkları; travma sonucunda ya da patolojik oluşumlara bağlı olarak meydana gelebilirler. Trafik kazaları, kavga, spor yaralanmaları travma kırıklarına örnek teşkil eder iken, kist ve tümörler sebebiyle oluşan kırıklar patolojik kırıkları oluştururlar.

Çene Kırıklarının Tedavisi

Çene kırıklarının tedavisinde öncelikle kırık parçaların bir araya getirilmesi ve sonrasında bu konumda hareketsizliklerinin temin edilmesi gerekir. Kırık tedavisinde tedavi şekli; kırığın meydana geldiği bölge, dişlerin durumu, hastanın yaşı, kırık parçaların yer değiştirip değiştirmediği, kırık parçalarda kemik kaybı olup olmadığı dikkate alınarak belirlenmelidir.

Başlıca İki Tedavi Prensibi Vardır

1.Cerrahi tedavi
2.Konservatif tedavi

Cerrahi tedavide çeşitli plak ve vidalar kullanılırken konservatif tedavide; ark barlar, splintler ve ağız dışından uygulanan bandajlar kullanılabilir.